你有没有发现,随着年龄的增长,牙齿问题也开始找上门了?尤其是那些不小心掉牙的小伙伴们,是不是在为补牙的事情烦恼呢?别急,今天我就要给你带来一份超级详细的成人掉牙补牙攻略,还有超实用的补牙视频教程,让你轻松应对牙齿问题!

1. 了解补牙的种类:首先,你得知道补牙有几种类型,比如树脂补牙、陶瓷补牙、金属补牙等。每种补牙材料都有其优缺点,你需要根据自己的实际情况和需求来选择。
2. 选择合适的医院和医生:补牙可不是小事情,一定要选择正规医院和有经验的医生。你可以通过网上查询、朋友推荐等方式来选择。
3. 了解补牙的费用:不同地区、不同医院、不同补牙材料,补牙的费用也会有所不同。提前了解费用,做好预算。

1. 局部麻醉:在补牙前,医生会先给你进行局部麻醉,让你在补牙过程中不会感到疼痛。
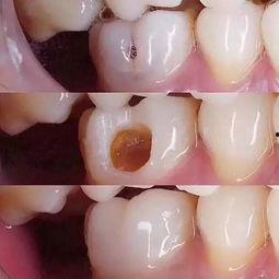
2. 清除牙洞内的细菌和食物残渣:医生会用专门的工具清除牙洞内的细菌和食物残渣。
3. 填充材料:根据你的选择,医生会用相应的材料填充牙洞。填充过程中,医生会不断调整材料,确保其与牙齿紧密结合。
4. 固化材料:填充完成后,医生会用紫外线或其他方法固化材料,使其与牙齿融为一体。
5. 检查和调整:固化完成后,医生会检查补牙效果,如有需要,会进行微调。

1. 保持口腔卫生:补牙后,要注意保持口腔卫生,每天早晚刷牙,饭后漱口。
2. 避免过硬食物:补牙后的一段时间内,要避免过硬、过热、过冷的食物,以免影响补牙效果。
3. 定期复查:补牙后,要定期到医院复查,确保补牙效果良好。
为了让你更直观地了解补牙过程,我为你找到了一些超实用的补牙视频教程。以下是一些推荐:
1. 树脂补牙教程:https://www.example.com/video1
2. 陶瓷补牙教程:https://www.example.com/video2
3. 金属补牙教程:https://www.example.com/video3
这些视频教程都是由专业医生录制的,内容详细,操作步骤清晰,相信你一定能从中受益。
掉牙并不可怕,关键是要及时补牙。希望这份详细的补牙攻略和视频教程能帮助你轻松应对牙齿问题,重拾自信的笑容!记得,关爱牙齿,从现在开始!
本文由admin于2026-02-16发表在超碰在线视频,如有疑问,请联系我们。
本文链接:https://cpzaixship.com/post/657.html